Menu

Early Treatment

You probably know that it's never too late to begin orthodontic treatment — but when it comes to your youngster's teeth, did you know that earlier may be better than later? According to the American Association of Orthodontists, kids should have an initial orthodontic screening at age 7. What makes early evaluation — and potentially, early treatment — so important?

 Orthodontic Problems.

There are several ways that kids can benefit from seeing an orthodontist at an early age. But it's important to recognize that early evaluation isn't necessarily followed by early treatment; in most cases, if orthodontic work is needed, we simply monitor your child's growth patterns until we see that it's time for treatment to begin. This gives us an opportunity to get the best results in the most efficient way, and to help prevent future problems.

Although every child's development is different, in most kids the first adult molars have typically started to emerge by around age six. This, along with other developmental markers, lets us get a handle on the basic alignment of the teeth, from front to back and side to side. It may also be possible at this point to determine whether there is adequate room in the mouth for all of the permanent teeth — and, if not, to take action.

When Earlier Is Better

Treatment for common orthodontic problems typically begins around age 9-14, when all of the baby teeth are gone and many of the permanent ones are in place. But there are some conditions that are much easier to treat if they're caught at an early age, when a child's natural growth processes are going full speed ahead.

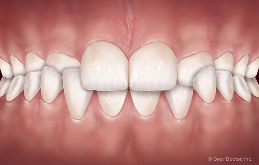
One is severe crossbite, a condition where many or all of the upper teeth close inside the lower teeth. To treat this problem, a device called a palatal expander can be used, which gradually and painlessly widens the upper jaw; it's especially effective when the jaw itself hasn't fully developed. If we wait too long, a more complicated treatment — or even oral surgery — might be required to correct the problem.

 

Another condition that may benefit from early treatment is severe crowding. This occurs when the jaws are too small to accommodate all of the permanent teeth. Either palatal expansion or tooth extraction may be recommended at this point, to help the adult teeth erupt (emerge from below the gums) properly. Even if braces are required later, the treatment time will likely be shorter and less complicated.

 

Early intervention may also be helpful in resolving several other problems. Protruding teeth, especially in front, can be prone to chipping and fractures; they may also lead to problems with a child's self-image. A severe underbite, caused by the lower jaw growing much larger than the upper jaw, can result in serious bite problems. Orthodontic appliances, including braces and headgear, can be successfully used to correct these problems at this stage, when the child's development is in full swing, thereby increasing the chances that surgery can be avoided.

Correcting Bad Habits

 Dangers of Thumb Sucking.

At one time or another, anyone may pick up a bad habit. But there are some situations where a youngster's parafunctional (outside normal function) habits can actually influence the development and function of his or her teeth, jaws and mouth. Some examples of these are persistent thumb sucking, tongue thrusting and mouth breathing.

The sucking reflex is natural in early childhood; it usually disappears between ages 2 and 4. But if it persists much later, the pressure of the digit on the front teeth and the upper jaw can actually cause the teeth to move apart and the jaws to change shape. This can lead to the orthodontic problem called "open bite," and may impair speech. An open bite can also be caused by the force of the tongue pushing forward against the teeth (tongue thrusting).

Mouth breathing — an abnormal breathing pattern in which the mouth always remains open, passing air directly to the lungs — is related to alterations in the muscular function of the tongue and face. It may cause the upper and lower jaw to grow abnormally, which can lead to serious orthodontic problems. Although mouth breathing may start from a physical difficulty, it can become a habitual action that's hard to break.

Various orthodontic treatments are available to help correct these parafunctional habits — and the sooner they're taken care of, the less damage they may cause. But these potential problems aren't always easy to recognize. That's one more reason why you should bring your child in for an early orthodontic screening.

Related Articles

Early Orthodontic Evaluation - Dear Doctor Magazine

Early Orthodontic Evaluation Early detection of orthodontic problems in young children may make it easier to correct those problems in the long run. Waiting until all of the permanent (adult) teeth have come in, or until facial growth is nearly complete, may make correction of some problems more difficult or even impossible. An early childhood orthodontic evaluation can yield excellent results... Read Article

Thumb Sucking - Dear Doctor Magazine

How Thumb Sucking Affects The Bite Thumb sucking can actually block the front teeth from erupting fully and can also push the teeth forward — sometimes more on the side where the thumb rested. How far out of position the teeth end up will depend on the number of hours per day the thumb was in the child's mouth and how much pressure was applied. When the pressure exerted by the thumb in the mouth is particularly strong and occurs over a long period of time, the forces can potentially influence growth of the jaws... Read Article

Orthodontics - Dear Doctor Magazine

The Magic of Orthodontics Proper alignment of the teeth is basic to "Smile Design." Their position dictates how they work together and affects the way you look and smile. Only orthodontic treatment can move teeth into the right position. Simply put, when things look right, they probably are right. Learn the basics of smile analysis and design and whether the magic of orthodontics will work for you... Read Article